Brazilian Butt Lift Complications: Explained!
In the past few years, the popularity of buttock augmentation procedures has increased dramatically, particularly the Brazilian Butt Lift. Unfortunately, concerns surrounding avoiding Brazilian butt lift complications have similarly increased. During a BBL procedure, experts transfer liposuctioned fat from the abdomen, back, flank, and thighs into the buttocks. The goal is to achieve improved volume, shape and size. While most BBL patient satisfaction is high, as with any type of surgery, sometimes unfortunate risks and complications can arise. Avoiding Brazilian butt lift complications is the purpose of this article. The most devastating complication following Brazilian Butt Lift is a fat embolus which may result in a pulmonary embolus. Pulmonary emboli have a relatively high mortality rate of 1:20,000, especially when compared to the liposuction mortality rate of 1:100,000.


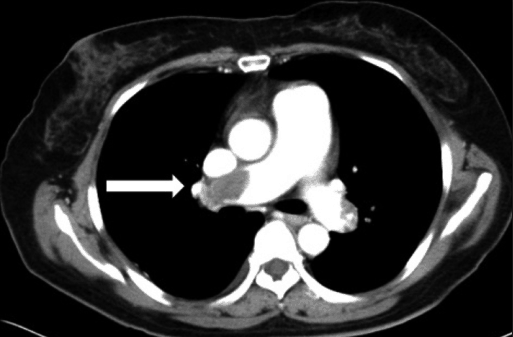
CT scan of pulmonary embolus resulting from the migration of a fat embolism to the lung.
Fat embolism is a phenomenon where fat particles get inadvertently deposited into regional vessels that then travel into organs, obstructing the flow of blood to that region; if the blood flow is obstructed to the lungs, termed a pulmonary embolus, death may occur.
As a doctor, my job is to do no harm to my patients, and with this goal in mind, we have developed a safer approach to this procedure which helps to minimize the risk of fat embolism.
Minimizing Risks
First, we identify the major arteries in the gluteal region, such as the superior gluteal artery, inferior gluteal artery, and deep femoral artery, by utilizing bony anatomical landmarks. We then confirm these locations using a hand-held Doppler ultrasound at the beginning of surgery. Next, we infiltrate these areas with a local anesthetic solution. This results in constriction of the perforating vessels, thus making inadvertent penetration of the vessels less likely. Additionally, we avoid the grafting action of the cannula (a thin tube used in liposuction) to these regions.
It is important to use a larger 4-5 mm gauge grafting cannula. This is because it is more protective in comparison to the smaller 2-3 mm cannulas. And finally, we also make sure to only inject in the subcutaneous tissues and superficial muscles, while avoiding the penetration of deeper muscles, such as the piriformis muscle. With our knowledge of important anatomical landmarks, we strive to avoid major arteries and veins in the gluteal region. By performing this technique with such careful consideration of the vascular anatomy, we aim to minimize the risk of fat emboli complications during this procedure and thus avoiding Brazilian butt lift complications.

A thin tube called a cannula used to suction and transfer fat.
For more information and to determine if you are a good candidate for a Brazilian Butt Lift, schedule a free consultation with Dr. Mowlavi, Orange County’s premiere buttocks augmentation surgeon.
SEE ALSO: Minimize the fear and stress of surgery with our perfect change program